小児歯科・矯正

小児歯科・矯正

まずはトレーニングから
※現在矯正歯科の新規患者受付は行っておりません。

お子様の笑顔のために

こどもの虫歯治療

抑えたり強引な治療はトラウマや事故の原因となります。
トレーニングして行くことで無理せず治療できるようになります。

フッ素塗布

歯を強くするためフッ素をぬります(無料)汚れを染め出しフッ素や他の薬剤で
予防します。
理想は一か月に一度、最低でも3か月以内をおすすめします。
 
 

シーラント

予防や初期虫歯に、フッ素入りの樹脂で歯の溝をうめます。
 
 

キッズスペース・託児ルーム(保育士在籍)

託児ルーム(保育士在籍)

託児ルーム(保育士在籍)

 
キッズスペース

キッズスペース

矯正

矯正による歯並びの改善
 
既製のものでなく、一人ひとりのお顔に合わせてワイヤーを調整します。
審美性のみでなく噛み合わせや清掃性の向上など健康面にも配慮いたします。
 

小児の矯正時期

上下2番目の永久歯が生えたら~

(ただしケースによっては例外があるので矯正医と相談しましょう。)

治療期間:3年

成人矯正

小学校高学年~大人

治療期間:2~3年

 

矯正の流れ

 
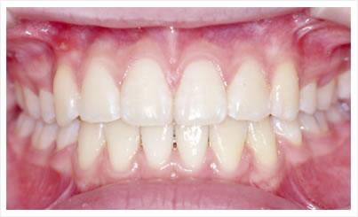
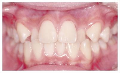
shift.jpg Before shift.jpg After

審美性の高い装置

歯の裏側に矯正装置をつける方法
舌側矯正

メリット

矯正装置が見えない。

デメリット

舌触りが気になる

費用

120~160万円

とりはずし出来る矯正
インビザライン(マウスピース矯正)

メリット

違和感が少ない

デメリット

症例によっては仕上げに他装置使用

※当院では矯正医が行いますので安心してできます

費用

90万円

 

部分矯正

部分的に動かす方法。例えば・・・
 
写真はむし歯で歯冠部がなくなってしまった歯、通常抜歯になりますが、
歯根の長さがある場合、矯正力により牽引し保存します。
 
費用

10万~25万円


料金

相談料:無料
診査・診断料5万円
舌側矯正 120~160万円
インビザライン(マウスピース矯正) 80万円
部分矯正10万円~
小児矯正40万円
成人矯正80万円(小児から成人への移行はその差額分のみ)

※結婚式などイベント時にご希望がある場合は装置を一度外します。

診療案内

「むやみに歯を削らない・抜かない」治療
 
 
 
 
 
 
 
 
 
 
 
 
 
※来院3日前までに
 

休診日:水曜・祝日
保険外診療のみカード払いできます